¿Qué es la enfermedad de Alzheimer?
La enfermedad de Alzheimer constituye una de las causas más conocidas de la demencia, entendiéndose ésta como la pérdida de manera progresiva de la memoria, ya que influye negativamente en el aprendizaje, disminuyendo la capacidad de concentración, de reflexión y de juicio en las personas que la padecen. Encuéntrale la solución en
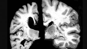
Generalmente el Alzheimer es frecuente en las personas mayores de setenta años, la causa que la produce es desconocida, sin embargo, los factores genéticos son determinantes en la enfermedad, las células cerebrales se degeneran y se destruyen, apareciendo en el cerebro placas seniles y haces neurofibriliares que son identificados durante la autopsia.

Progresión de la enfermedad de Alzheimer
La enfermedad aparece de manera lenta y luego se va acentuando con el tiempo. Los síntomas más comunes son la perdida de memoria, la noción del tiempo, la capacidad de reconocer a sus seres queridos y reconocerse a si mismo, los lugares, objetos, entre otros.
Se produce un cambio total de la personalidad haciéndose cada vez más dependientes de las demás personas, porque aquellas actividades que lograba hacer con total normalidad como caminar, manejar o vestirse, no logran ejecutarlas por si solas.
Tratamiento
El Alzheimer como todas las demencias es incurable, existen fármacos que la controlan y que pueden retrasar la evolución de la enfermedad por algunos años.
Su día a día debe ser organizado con diferentes rutinas donde esté pueda desarrollar las actividades comunes, y en su entorno hacerse de familias y allegados que le profesen mucho amor, paciencia, tolerancia, respeto y así se sientan seguros y cómodos.